Implantes Dentales
Los implantes dentales ofrecen una solución efectiva, duradera y estéticamente agradable para reemplazar dientes perdidos, contribuyendo significativamente a la salud oral y al bienestar general.
Redescubre tu sonrisa con la confianza que te mereces. ¡Recupera tu seguridad y disfruta de una vida plena! Contáctanos para una consulta.
¿Por qué considerar los implantes dentales?
Aspecto y funcionalidad natural: Los implantes se ven y funcionan como dientes reales.
Conservación ósea: Ayudan a mantener la estructura ósea del maxilar.
Durabilidad y comodidad: Son una solución duradera y cómoda a largo plazo.
Sin afectar a dientes adyacentes: A diferencia de los puentes dentales, los implantes no requieren el desgaste de los dientes vecinos.

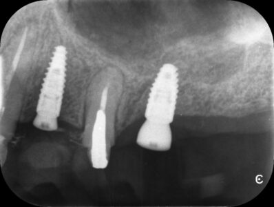
Implantes dentales + Coronas
Los implantes dentales no solo brindan una apariencia natural, sino que también ofrecen una funcionalidad superior y una durabilidad a largo plazo. Si has estado considerando opciones para reemplazar dientes perdidos, los implantes podrían ser la solución ideal para ti.
Implante
Corona implanto soportada
Agenda tu cita
Dile adiós a los espacios vacíos y disfruta de una sonrisa completa y natural. ¡No esperes más para volver a sonreír con seguridad! Agenda tu cita y descubre cómo los implantes dentales pueden cambiar tu vida.
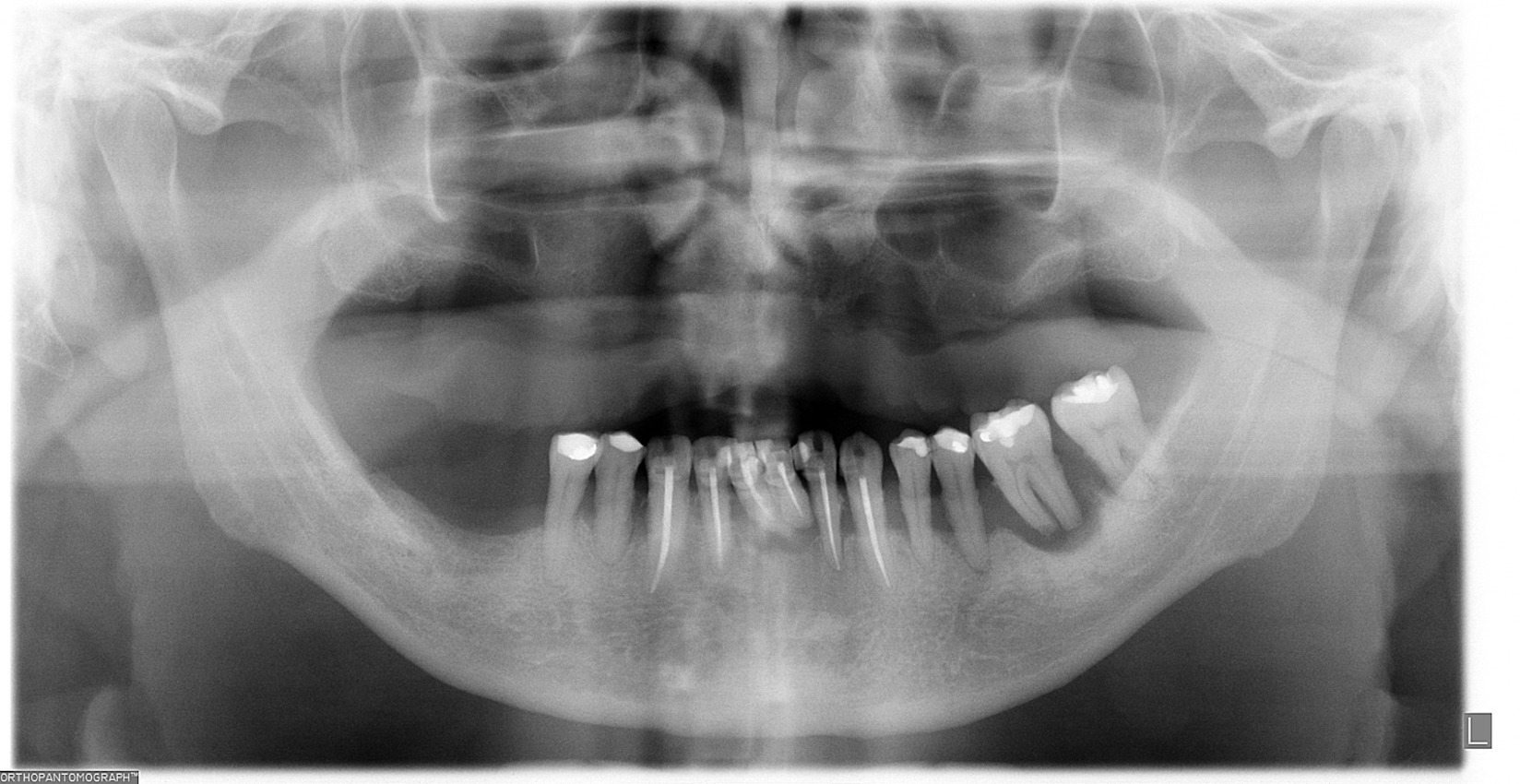
Caso Clínico
¿Sabías que la colocación de implantes dentales ya no es como antes? Gracias a los avances tecnológicos, este procedimiento es ahora más preciso, cómodo y seguro.







Seguimiento de Caso
Olvídate de las intervenciones invasivas y las largas recuperaciones. En este caso clínico, te mostraremos cómo la tecnología digital se une a la experiencia de nuestros especialistas para lograr resultados sorprendentes.
Planificación de Implantes: Precisión milimétrica
Máxima precisión en implantes dentales: Planificación con tecnología 3D
Planificación digital de implantes: La tecnología al servicio de tu sonrisa
Te invitamos a visitar nuestro consultorio para brindarte una atención personalizada, ofrecerte un tratamiento integral y responder cualquier duda que puedas tener sobre el procedimiento
¡Agenda tu cita ahora y comienza tu camino hacia una sonrisa saludable!
Te esperamos en nuestras instalaciones para tener el gusto de atenderte.
Visita el departamento del Quindio en Colombia

Quindio, corazón del Eje Cafetero

Valle de Cocora
